Cardiovascular Imaging Patient Services
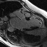
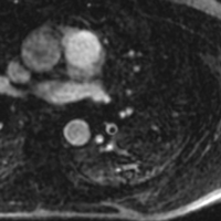
Cardiac Magnetic Resonance (CMR) Imaging
- Ischemic heart disease
- Evaluating cardiac function and determining causes of heart failure
- Assessing congenital heart disease
- Characterizing cardiac tumors
- Confirming causes of non-ischemic cardiomyopathy
- Dilated cardiomyopathy
- Hypertrophic cardiomyopathy
- Arrhythmogenic right ventricular cardiomyopathy/dysplasia
- Cardiac amyloidosis
- Cardiac sarcoidosis
- Left ventricular non-compaction cardiomyopathy
- Iron-overload cardiomyopathy
- Myocarditis
- Endomyocarial fibrosis
- Evaluating pericardial diseases including constrictive pericarditis
- Assessing the pulmonary veins prior to pulmonary vein isolation in patients with atrial fibrillation




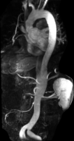
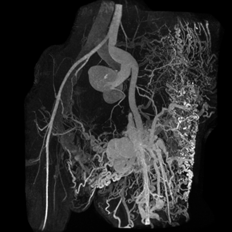
Magnetic Resonance Angiography (MRA)
Chest, Abdomen and Pelvis
- Pulmonary embolus
- Aortic aneurysms
- Dissections, intramural hematoma and penetrating atherosclerotic ulcers
- Vasculitis
- Renal artery stenosis, including fibromuscular dysplasia
- Mesenteric ischemia
- Pelvic congestion syndrome




Extremities
- Acute and chronic peripheral vascular disease
- Vascular malformations
- Popliteal entrapment syndrome
- Thoracic outlet syndrome
- Deep venous thrombosis, including May-Thurner syndrome and Paget-Schroetter Syndrome



Coronary and Cardiac Computed Tomography Angiography (CCTA)
- Coronary artery disease
- Anomalous coronary arteries
- Congenital heart disease
- Evaluation of patients prior to transcatheter aortic valve replacement (TAVR)




Computed Tomography Angiography (CTA)
Chest, Abdomen and Pelvis
- Pulmonary embolus
- Aortic aneurysms
- Dissections, intramural hematoma and penetrating atherosclerotic ulcers
- Vasculitis
- Renal artery stenosis, including fibromuscular dysplasia
- Mesenteric ischemia
- Pelvic congestion syndrome

Extremities
- Acute and chronic peripheral vascular disease
- Vascular malformations
- Thoracic outlet syndrome

3D Lab
The dedicated team of cardiovascular imaging post-processors provide advanced 3D visualization and post-processing for optimal visualization of anatomy, pathology and surgical planning. This includes visualization and quantification of four-dimensional (4D) flow MRI and generating patient-specific 3D printed models to assist with complex surgery.